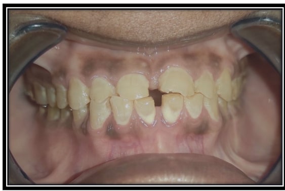
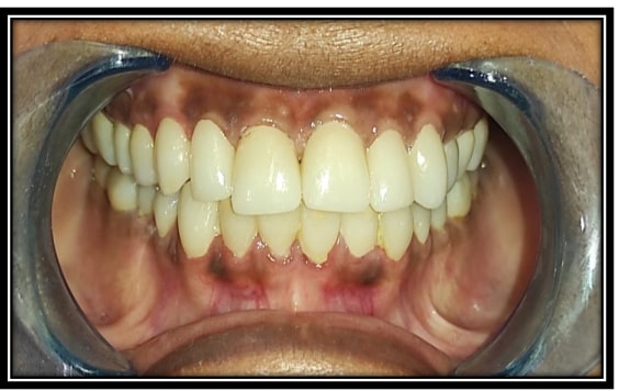
Full Mouth Rehabilitation

Full Mouth Rehabilitation is a customized treatment plan designed to restore the function and aesthetics of the entire mouth, including the teeth, gums, and jaw joints. This treatment is ideal for patients who have multiple dental problems, such as missing teeth, worn or damaged teeth, gum disease, and bite problems.

It can help patients achieve a healthy, functional, and beautiful smile. By addressing multiple dental problems at once, Full Mouth Rehabilitation can improve a patient's chewing ability, alleviate pain and discomfort, and improve the appearance of the smile. Additionally, Full Mouth Rehabilitation can help prevent future dental problems and reduce the need for more invasive treatments in the future.

Some of Our sucessfull Smile FMR cases