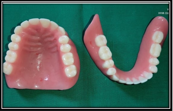
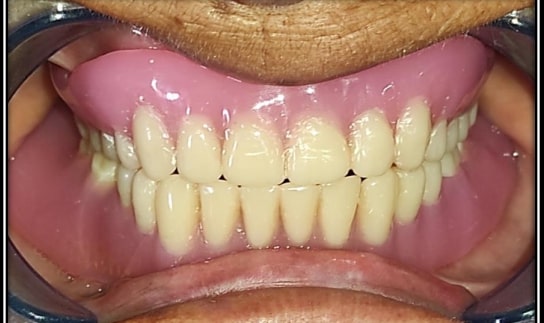
Complete Denture

A complete denture is a removable dental prosthesis that is designed to replace all of the teeth in one or both jaws. It is typically made of acrylic resin and designed to fit snugly over the gums. The prosthesis can be held in place by suction or with the use of a denture adhesive.

Complete dentures are an excellent option for patients who have lost all of their teeth or who need to have all of their teeth extracted due to decay or other dental problems. Complete dentures can help restore a patient's ability to chew and speak properly, as well as improve their overall appearance and confidence.

Some of Our sucessfull Complete Denture cases