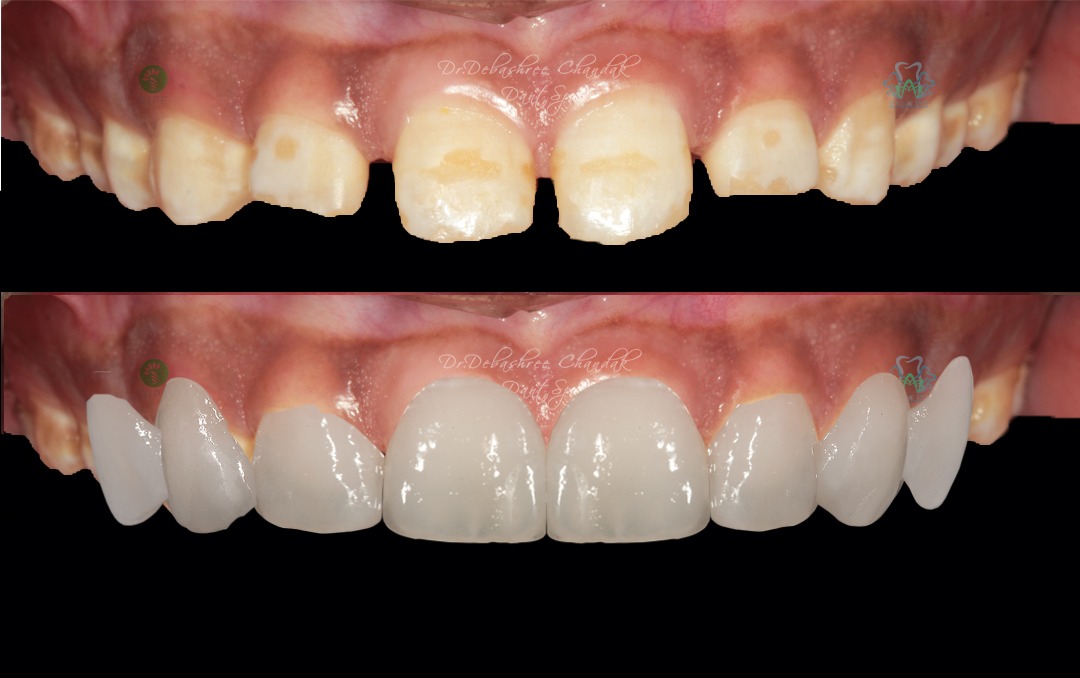
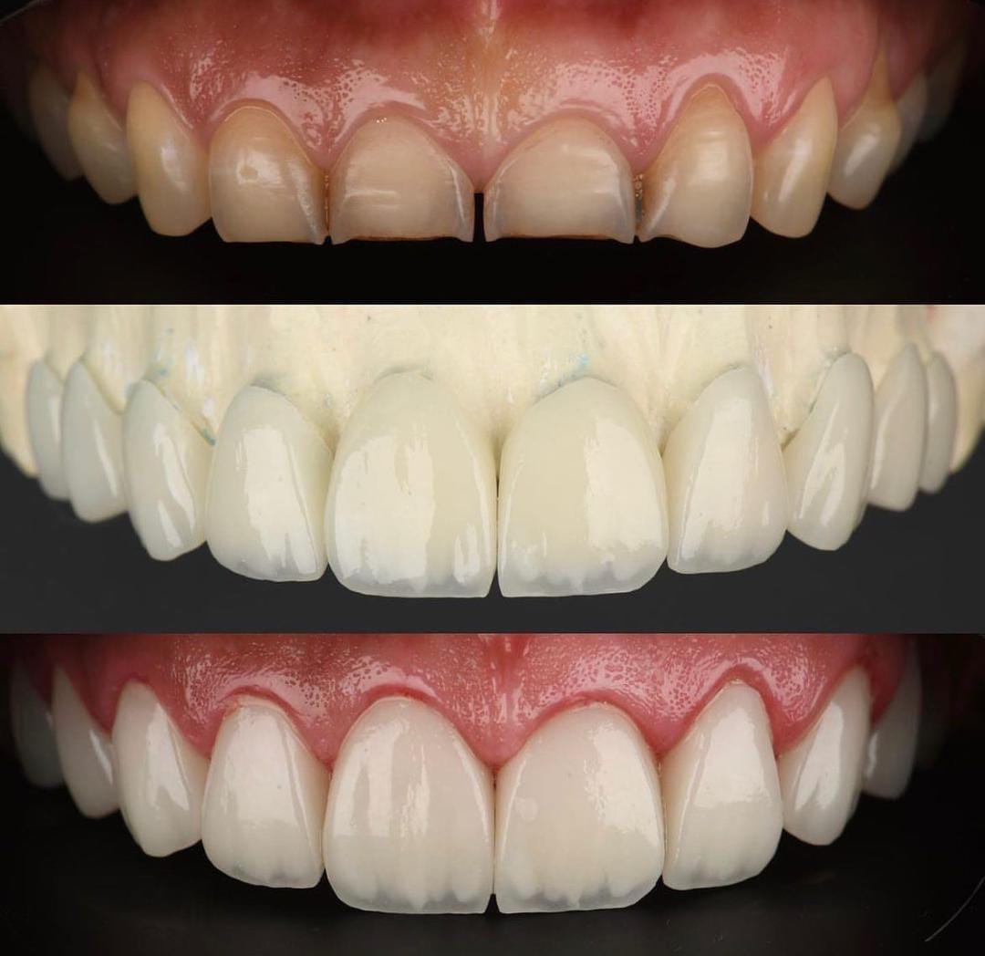
Smile Designing

Smile designing is a cosmetic dental procedure that aims to improve the appearance of a patient's smile. It involves a combination of different treatments, such as teeth whitening, dental veneers, orthodontics, and gum contouring, to create a beautiful and balanced smile that complements the patient's facial features and personality.

Dental implants are long-term investment in oral health. Unlike other tooth replacement options, such as dentures or bridges, dental implants can last a lifetime with proper care and maintenance. They do not require any special cleaning or adhesives, and they do not put strain on adjacent teeth like bridges can.

Call for Appointment in Dr.Sonu Kumar dental implant

Call The Number Below

+91 7439475785

Some of Our sucessfull Smile Design cases